
THE BACKGROUND
My name is Sandhya and I am a 39-year-old mother, wife, daughter. I am working as a Procurement manager in a private limited startup in Kasturi nagar, Bengaluru. I was recently diagnosed with a brain aneurysm. The Doctors have informed me that I urgently need to undergo surgery. To make matters worse, my husband Manju lost his job in the pandemic and this has made the financial condition of our family grave. We definitely cannot afford the surgery and have no property or any other means to fund the surgery while supporting my dependent family members which include 2 school-going children.
I am in desperate need of funds as I otherwise cannot go ahead with the surgery.
The cost for surgery at Sakra World Hospital, Bangalore is INR 11.5L.

Pic shows Sandhya before her diagnosis.
WHAT IS A BRAIN ANEURYSM

A brain aneurysm is a bulge or ballooning in a blood vessel in the brain. It often looks like a berry hanging on a stem. It can leak or rupture, causing bleeding into the brain (hemorrhagic stroke). Most often a ruptured brain aneurysm occurs in the space between the brain and the thin tissues covering the brain. This type of hemorrhagic stroke is called a subarachnoid haemorrhage.
A ruptured aneurysm quickly becomes life-threatening and requires prompt medical treatment.
EXPENSES

THIS CAMPAIGN AIMS TO RAISE INR 11.5L OR MORE TO HELP SANDHYA RECEIVE HER TREATMENT.

HER FAMILY
Sandhya's family includes her husband Manjunath and her two children. Both her children study at PCMB Academy, Bangalore.

Pic shows Sandhya's family. Her husband, children and her mother-in-law in happier times.
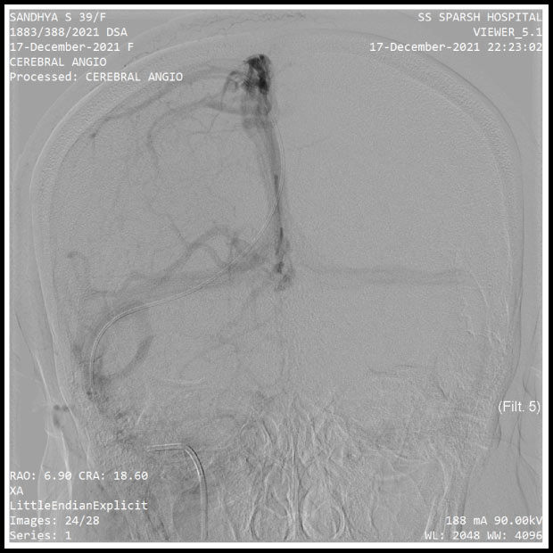
TEST REPORTS FROM THE HOSPITAL


Pics show the test reports from the hospital. The brain aneurysm is clearly noticeable.
The least you can do as friends and fellow human beings is give a little so that together we can make a big difference to Sandhya's life. The funds we are raising will be enough to help pay for her treatment. So please continue funding till the last day, irrespective of the amount we raise, as the more we collect the more costs are covered.
DOCTOR'S REPORT

Pic shows a letter from Sandhya's doctor stating the urgency of the matter.
LOCATION OF THE HOSPITAL
FEEDBACK THAT YOU GET
To ensure that there is complete transparency I shall post updates on the UPDATES section of the campaign. As soon as I post an update, the platform will send an EMAIL alert to all the funders - i.e. to you. Click on the link on the email and you can read about the progress and how the funds are being used.
FAQs
How can we fund this campaign with a Cheque?
Fueladream Online Ventures Pvt Ltd account details are as below:
BANK NAME: HDFC Bank Limited.
BRANCH: Koramangala( Main Branch). City: Bengaluru - 560095.
ACCOUNT NUMBER: 50200013106778
IFSC CODE: HDFC0000053
Please draw a cheque in favor of "Fueladream Online Ventures Pvt Ltd", and deposit the cheque into the Fueladream Online Ventures Pvt Ltd HDFC Bank account (any branch across INDIA). After you deposit the cheque, please send an email to prasad@fueladream.com AND getintouch@fueladream.com with the following funder information.
1) Name of Funder:
2) Full address with Pin code:
3) Telephone/Mobile no and Email ID:
4) Cheque number:
5) Amount funded:
6) Whose campaign are you funding. (Name of the person OR campaign number/ID):
After the funds are received and the above details are verified, the fund amount will be transferred to the respective campaign. This can take from 1-3 working days.
How does crowdfunding work?
Crowdfunding in India is a relatively new concept and is growing very quickly.
It’s a concept that allows a large number of funders (like you) to fund an idea or a cause or event by giving small amounts of money online. Fueladream.com is a crowdfunding platform in India that allows for such pooling of funds. You can fund innovations and ideas on FuelADream and be the first to get these products or make them come true. You can also do a good turn by funding charities and causes through crowdfunding. When you fund a charity it’s more like a donation and you get small innovative rewards like a shout-out on an FB page or a thank you email from the beneficiaries.